Trusted dental care with compassion, technology, and expertise.
Explore Services
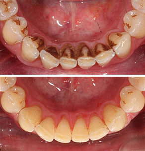
Welcome to our Dental Clinic, Where Your Smile Comes First! At Dr. Sherryl Joya Prepotente, we are dedicated to providing exceptional dental care in a warm, friendly, and relaxing environment. Our clinic offers a full range of dental services from routine cleanings and checkups to advanced cosmetic and restorative treatments.
























Mecauyan Bulacan
drsherryljoyaprepotente@gmail.com
09274388583
Mon - Fri: 9:00 AM - 5:00 PM
Saturday: 9:00 AM - 3:00 PM
Sunday: Closed